ÉÛÎäÔÚÏß | swzx.com

 ÕÒ»ØÃÜÂë
 Á¢¼´×¢²á

QQ怬

Ö»ÐèÒ»²½£¬¿ìËÙ¿ªÊ¼

ɨÂëµÇ¼¸ü°²È«

微信扫码登录

²é¿´: 1333|»Ø¸´: 3

ÈÊÐÄÈÊÊõ´´Ææ¼£ ÖØÖ¢í¦³æ²¡»¼Õß»ñÐÂÉú

[¸´ÖÆÁ´½Ó]
·¢±íÓÚ 2025-11-18 20:49 | ÏÔʾȫ²¿Â¥²ã |ÔĶÁģʽ À
       ½üÈÕ£¬ÉÛÎäÊÐÁ¢Ò½Ôº¸ÐȾ¿ÆÁªºÏÖØÖ¢Ò½Ñ§¿Æ£¬Àú¾­ 35 ¸öÈÕÒ¹µÄ²»Ð¸·ÜÕ½£¬³É¹¦¾ÈÖÎÒ»Àý¼«ÎªÎ£Öصġ°í¦³æ²¡ºÏ²¢¶àÆ÷¹Ù¹¦ÄÜË¥½ß¡±ÀÏÄ껼Õß¡£Ä¿Ç°»¼ÕßÒÑ¿µ¸´³öÔº£¬¼ÒÊôÌØÒâËÍÀ´½õÆìºÍ¸ÐлÐÅ£¬ÏòÈ«ÌåÒ½»¤ÈËÔ±±í´ï³ÏֿлÒ⣬ΪÕⳡ¾ªÐ͝ÆÇµÄÉúÃü±£ÎÀÕ½»­ÉÏÔ²Âú¾äºÅ¡£
DSC000.jpg

²¡ÇéÐ×ÏÕ£ºÆßÑ®ÀÏÈ˸ßÉÕ 15 Ì죬¶àÆ÷¹Ù±ôÁÙË¥½ß


       2025 Äê 9 Ô 30 ÈÕ£¬72 ËêµÄÕÅÄÌÄÌ£¨»¯Ãû£©Òò³ÖÐø¸ßÈÈ 15 Ìì¡¢ºôÎüÀ§ÄÑÎÞ·¨Ï´²£¬±»¼ÒÊô½ô¼±ËÍÈëÎÒÔº¼±Õï¿ÆÇÀ¾È¡£¾ÝϤ£¬»¼Õß´ËÇ°ÔøÕ·×ª¶à¼Ò˽ÈËÕïËù¼°ÎÀÉúÔºÊäÒºÖÎÁÆ£¬µ«ÌåÎÂʼÖվӸ߲»Ï£¬×î¸ß´ï 40.0¡æ£¬²¡Çé³ÖÐø¶ñ»¯¡£
       ÈëԺʱ£¬»¼ÕßÉúÃüÌåÕ÷¼«²»Îȶ¨£ºÑªÑ¹½ö 90/60mmHg£¨ÐèÈ¥¼×ÉöÉÏÏÙËØÎ¬³Ö£©£¬ÑªÑõ±¥ºÍ¶È 90%£¬ÐÄÂÊ 120 ´Î / ·Ö£¬ºôÎüƵÂʸߴï 34 ´Î / ·Ö¡£½øÒ»²½¼ì²éÏÔʾ£¬»¼Õß°×ϸ°û 29.84¡Á10⁹/L¡¢ÑªÐ¡°å½ö 11¡Á10⁹/L£¬CRP¡¢PCT µÈ¸ÐȾָ±êÔ¶³¬Õý³£ÖµÊýÊ®±¶£¬Í¬Ê±ºÏ²¢¼±ÐÔºôÎü¾½ÆÈ×ÛºÏÕ÷£¨ARDS£©¡¢¼±ÐÔÐÄÁ¦Ë¥½ß¡¢Éö¹¦ÄÜËðÉ˵ȶàÏîÖÂÃü²¢·¢Ö¢£¬¶àÆ÷¹Ù¹¦ÄܱôÁÙË¥½ß£¬²¡ÇéÐ×ÏÕÖÁ¼«£¬¾ÈÖÎÄѶȼ«´ó£¬ËÀÍöÂʼ«¸ß¡£
DSC000.jpg DSC000.jpg

  ¾«×¼ÆÆ¾Ö£º½¹ðèËø¶¨ ¡°ÔªÐס±£¬¶àѧ¿Æ½ÓÁ¦¾ÈÖÎ

       ¼±Õï¿ÆÑ¸ËÙÆô¶¯½ô¼±¾ÈÖΣ¬¸ÐȾ¿ÆÊ¯Ö²ÔªÖ÷ÖÎҽʦ»áÕïʱ£¬ÔÚ»¼ÕßÓҲู¹É¹µ·¢ÏÖÒ»¸ö 0.5¡Á0.5cm µÄºÚÉ«½¹ðè ¡ª¡ªÕâÒ»¹Ø¼üÌåÕ÷£¬½áºÏ»¼Õß½üÆÚƵ·±Ç°Íù¹«Ô°»î¶¯µÄÁ÷Ðв¡Ñ§Ê·£¬×îÖÕÃ÷È·Õï¶ÏΪ ¡°í¦³æ²¡¡±¡£¸Ã²¡ÓÉí¦òý¶£Ò§´«²¥£¬ÖØÖ¢»¼ÕßÈôδ¼°Ê±¾ÈÖΣ¬ËÀÍöÂʿɴï 30% ÒÔÉÏ£¬±»³ÆÎª ¡°²Ý´ÔɱÊÖ¡±¡£
DSC000.jpg

     
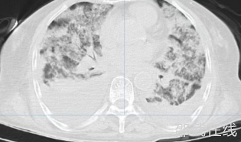
»¼ÕßËæ¼´×ªÈë¸ÐȾ¿ÆÇÀ¾È£¬¸µ±óºìÖ÷ÈÎÒ½Ê¦Ç£Í·ÖÆ¶¨¸öÌ廯ÖÎÁÆ·½°¸£¬¸øÓ迹¸ÐȾ¡¢Éýѹ¡¢ÊäѪС°å¡¢¾­±Ç¸ßÁ÷Á¿¸øÑõµÈ×ÛºÏÖÎÁÆ¡£È»¶ø²¡ÇéÈÔÒ»²¨ÈýÕÛ£ºÖÎÁÆ 2 Ììºó»¼ÕßÌåÎÂϽµ£¬µ«ÑªÑõ±¥ºÍ¶È³ÖÐøÔÚ 70-88% µÄΣÏÕÇø¼ä£¬¸´²éÐØ²¿ CT ÏÔʾ˫·ÎµûÒíÕ÷¡¢·ÎË®Ö׺ϲ¢ÐØÇ»»ýÒº£¬Ìáʾ ARDS ¼ÓÖØ¡£ÖØÖ¢Ò½Ñ§¿ÆÍŶӽô¼±½éÈ룬Ϊ»¼ÕßÊµÊ©Æø¹Ü²å¹ÜºÍÓд´»úÐµÍ¨Æø£¬²ÉÓ÷α£»¤ÐÔÍ¨Æø²ßÂԳɹ¦¾ÀÕýÍç¹ÌÐÔµÍÑõѪ֢£¬Öú»¼Õß´³¹ýºôÎüË¥½ßÄѹء£       ¾­¹ýϵÁÐÖÎÁÆ£¬»¼Õ߸÷ÏîÖ¸±êÖ𲽸ÄÉÆ£¬Ë³ÀûÍÑÀëºôÎü»ú£¬¼´½«¿µ¸´³öÔº¡£²»ÁϳöԺǰһÌ죬»¼ÕßÍ»·¢Ïû»¯µÀ´ó³öѪ£¬Ñªºìµ°°×´Ó 87g/L Öè½µÖÁ 51g/L£¬ÉúÃüÔÙ´ÎÊÜÍþв¡£Ò½Îñ²¿Ñ¸ËÙ×é֯賦Íâ¿Æ¡¢Ñª¹ÜÍâ¿Æ¡¢Ïû»¯ÄڿƵȶàѧ¿Æ£¨MDT£©»áÕ¾­»áÕï¼°¼±Õï賦¾µÊ±·¢ÏÖ»ØÃ¤²¿£¬ÓÐÉøÑª£¬×ۺϿ¼ÂdzöѪ²¿Î»ÔÚС³¦£¬Òòȱ·¦Ð¡³¦¾µ£¬ÎÞ·¨ÔÚÄÚ¾µÏÂÅжÏÊǾֲ¿»¹Êǹ㷺³öѪ£¬ÎÞ·¨ÔÚÄÚ¾µÏÂֹѪ£¬Ö»ÄܲÉÈ¡±£ÊØÖÎÁÆ£¬ÇÒ±£ÊØÖÎÁÆ·çÏÕ¼«´ó£¬ËæÊ±¿ÉÄܳöÏÖÏû»¯µÀ´ó³öѪ¡£µ¼ÖÂʧѪÐÔÐݿˡ¢ËÀÍöµÈ·çÏÕ£¬½¨ÒéתÉϼ¶Ò½ÔºÍêÉÆÐ¡³¦¾µ¡£µ«ÔÚ»¼Õß¼°¼ÒÊôµÄ¼á³ÖÏ£¬ÒªÇó¼ÌÐøÔÚÎÒÔº±£ÊØÖÎÁÆ£¬Ò½ÁÆÍŶӲÉÈ¡Êä×¢ 1200ml È¥°×Ðü¸¡ºìϸ°û¡¢Ö¹Ñª¡¢ÒÖÖÆÎ¸ËáµÈ±£ÊØÖÎÁÆ£¬5 Ììºó³öѪ³É¹¦¿ØÖÆ£¬»¼ÕßѪºìµ°°×Îȶ¨ÔÚ 103-108g/L¡£

  ×ªÎ£Îª°²£º35 Ìì¼áÊØ»»ÖØÉú£¬½õÆì¼ûÖ¤Ò½»¼Çé


       2025 Äê 11 Ô 3 ÈÕ£¬¾­¹ý 35 ¸öÈÕÒ¹µÄ¾«×¼¾ÈÖÎÓëϤÐÄ»¤Àí£¬»¼Õ߸÷ÏîÖ¸±ê»Ö¸´Õý³££¬¿É×ÔÖ÷»î¶¯¡¢Õý³£½øÊ³£¬Ë³Àû°ìÀí³öÔºÊÖÐø¡£³öÔºµ±Ì죬¼ÒÊô½«Ò»ÃæÐ´ÓÐ ¡°Ò½µÂ¸ßÉÐ Ò½Êõ¾«Õ¿ ¡±µÄ½õÆìË͵½¸ÐȾ¿ÆÒ½»¤ÈËÔ±ÊÖÖУ¬¼¤¶¯µØËµ£º¡°ÊÇÒ½Ôº¸øÁËÀÏÈ˵ڶþ´ÎÉúÃü£¬¸ÐлËùÓÐÒ½Éú»¤Ê¿µÄ²»·ÅÆú£¡¡±

        ¾ÝÁ˽⣬»¼Õß³öԺʱ¸´²é½á¹ûÏÔʾ£º°×ϸ°û 9.48¡Á10⁹/L¡¢ÑªÐ¡°å 146¡Á10⁹/L£¬CRP¡¢¼¡ôû¡¢NT-probnp µÈÖ¸±ê¾ù»Ö¸´ÖÁÕý³£·¶Î§£¬±êÖ¾×ŶàÆ÷¹Ù¹¦ÄÜÍêÈ«¿µ¸´¡£


ÕÃÏÔʵÁ¦£º¶àѧ¿ÆÐ­×÷Öý¾Í¾ÈÖε䷶

       ´Ë´ÎÎ£ÖØ»¼Õߵijɹ¦¾ÈÖΣ¬³ä·ÖÕÃÏÔÁËÒ½ÔºÔÚÒÉÄÑÎ£ÖØÖ¢¾ÈÖÎÖеÄ×ÛºÏʵÁ¦¡£´Ó¼±Õï¿Æ¿ìËÙʶ±ð¡¢¸ÐȾ¿Æ¾«×¼Õï¶Ï£¬µ½ÖØÖ¢Ò½Ñ§¿ÆºôÎüÖ§³Ö¡¢¶àѧ¿ÆÁªºÏÆÆ½âÏû»¯µÀ³öѪÄÑÌ⣬¸÷¿ÆÊÒÎÞ·ìÏνӡ¢Ð­Í¬×÷Õ½£¬²»½öÌåÏÖÁ˸߳¬µÄÒ½ÁƼ¼Êõˮƽ£¬¸ü¼ùÐÐÁË ¡°ÉúÃüÖÁÉÏ¡± µÄ°ìÔº×ÚÖ¼¡£


        Ò½Ôº½«ÒԴ˴β¡ÀýΪÆõ»ú£¬½øÒ»²½×ܽáÖØÖ¢í¦³æ²¡µÄ¾ÈÖξ­Ñ飬ÓÅ»¯¶àѧ¿ÆÐ­×÷Á÷³Ì£¬³ÖÐøÌáÉý¼±Î£ÖØÖ¢¾ÈÖÎÄÜÁ¦£¬Îª¹ã´ó»¼ÕßµÄÉúÃü½¡¿µÖþÀΰ²È«·ÀÏß¡£


À´Ô´:ÉÛÎäÊÐ×ÜÒ½Ôº


·¢±íÓÚ 2025-11-19 07:40 À´×Ôm.swzx.com | ÏÔʾȫ²¿Â¥²ã À
·¢±íÓÚ 2025-11-19 08:20 À´×Ôm.swzx.com | ÏÔʾȫ²¿Â¥²ã À
¸ßÉÕÒ»°ã³¬¹ý5Ìì²»ºÃ¾ÍҪȥ×öÈ«Ãæ¼ì²éÁË£¬¿Ï¶¨ÊdzöÎÊÌâÁË
·¢±íÓÚ 2025-11-19 12:34 À´×Ôm.swzx.com | ÏÔʾȫ²¿Â¥²ã À
¶áÃüí¦³æ¡£
ÄúÐèÒªµÇ¼ºó²Å¿ÉÒÔ»ØÌû µÇ¼ | Á¢¼´×¢²á

±¾°æ»ý·Ö¹æÔò

¿ìËٻظ´ ·µ»Ø¶¥²¿ ·µ»ØÁбí